一直以来超羡慕别人有一排整齐洁白的牙齿,
一副很美的笑容。。。
怎知,我却有拥有凌乱的牙齿,
也许你们不觉得,
甚至还说我的牙齿可爱。。。
但这不是我想要的,
有机会改变下,当然不会错过咯。。。
就在15.02.2011,我就开始拔取我两颗健康的牙齿。。。
和牙医预约好在15日早上7.30 到诊所,
这一天路尼特地请半天假给我壮胆。。。

医生叫我闭起嘴巴让他看清楚我的嘴形。。。
心情真的是紧张到不行。。。
还以为医生会不让我拍照,
怎知他不但让我拍而且还会吩咐路尼该从什么角度拍。。。
最让我“咋到”的是医生他竟然!!!
你们不好吓到啊,
眼泪这次真的很牺牲我的色相哩。。。。
为你们豁出去了!!!
。
。
。
。
。
。
。
。
。
。
。
。
。
。
。
。
。
。
。
。
。
。
。
。
。
。
。

就是这个不懂什么咚咚。。。
我还以为医生想要开始打麻醉针,
怎知道他和路尼说要这样拍,那样拍。。。
他是特地要我戴起来让路尼拍照。。。
搞笑到。。。
原来这咚咚是要用于在放牙套时候套上的以方便医生把牙套粘在我的牙齿上。。。
今天根本派不上用场。。。

我一直处在紧张的状态,根本都坐立不安,
连医生在后面忙着什么我也想知道。。。
同时也让你们看清楚我的牙齿有多不整齐咯。。。
之前已经询问过几个戴牙套的朋友,
打麻醉针痛吗?拔牙痛吗?套上牙套后痛吗?
很多都说打麻醉针痛,拔牙不痛,套上牙套后会很痛。。。
平时已经够怕打针了,现在还要打在牙肉上。。。
忐忑的感觉已经折磨我好几个晚上了。。。
而且麻醉针比普通针还来得大支。。。
不管医生怎么的安慰我还是说服不到我咯,
看照片就是了。。。

第一针就这样刺下去了!!!!
我心里还默默祈祷着"jesus with me,jesus with me"
咦~~还真的是不痛哩。。。
不懂是医生的技巧了得还是怎样,
一点痛都没有。。。

第二针,第三针,
轻轻松松就混过去了。。。
没事,哈哈~~~
不到一会儿,麻醉药就发挥作用了,
连鼻子也麻去半边。。。
紧张的时刻来咯,
看到医生手握着大大支的钳子,
我的心就麻了。。。
当他要动手时我失态的叫了一下,连医生也笑了。。。
这时的我身体已经完全僵硬了。。。

他还很狡猾的说,我试下而已,待会儿再正式的拔。。。
我就让他摇啊摇,摇啊摇。。。。
突然,“叭”的一声。。。

看,我的第一颗牙齿就这么的拔出来了。。。
真的在我无心理准备之下拔掉咯,
怕到我啊。。。
立刻就大声说:“医生你骗我”
他还回我说是为了让我放松。。。
=="

接下来第二颗,
有了刚才的经验,这一次我也比较放松,
痛是不痛只是那种压力已经让我beh tahan了,
你会一直感觉到医生在很用力的摇着坚固的牙齿,
有拔牙过的人应该都懂得这感觉吧?

这次没有“叭”一声,
就是摇摇摇就出来了。。。
15号这一天就只是拔了两颗牙齿,
18.02.2011,再回去拔过另外两颗。。。
18号这天久没得拍照啦,
有了经验就不必路尼陪伴了,
而且同样是拔牙照片不拍也罢。。。
这就是过后的止痛药和一些棉花用来止血的,
但我竟然厉害到不吃止痛药也没问题,
只是流比较多血啦。。。
我的四颗无辜被拔掉的牙齿现在就被装进这个小罐罐里头了。。。
还真有点舍不得和不习惯。。。
原本31颗牙齿现在就只剩下27颗了。。。
21.02.2011
这一天就是我戴牙套的日子,
一大清早就驾车到牙医那里去,
途中我还一直用舌头舔我的牙齿,
不多一下牙齿就会全套上牙套了。。。
过程还好,都不会痛,
我还得意地问医生,
怎么我的朋友都说上了牙套会痛但我还是没感觉呢?
怎知道牙医回答:“现在你不会痛的,再过一下你就会很痛了。。。”
walao,被他这么一吓,我什么心情都没有咯。。。
上了牙套我都没立刻照镜子,
知道回到家,照了照镜子,
还真的很不习惯,
白痴笑了几下我就倒头大睡了,
皆因我7点就起床出发到诊所咯。。。
心还是会担心待会会痛到醒。。。
但看来我的担心是多余的,
痛的感觉是没有,但牙齿变得很麻痹,很酸,
真的完全嚼不到食物,
都只能吃粥。。。。


这是拔牙后和上牙套后的右边脸。。。

这是拔牙后和上牙套后的左边脸。。。
这就是正面啦。。。
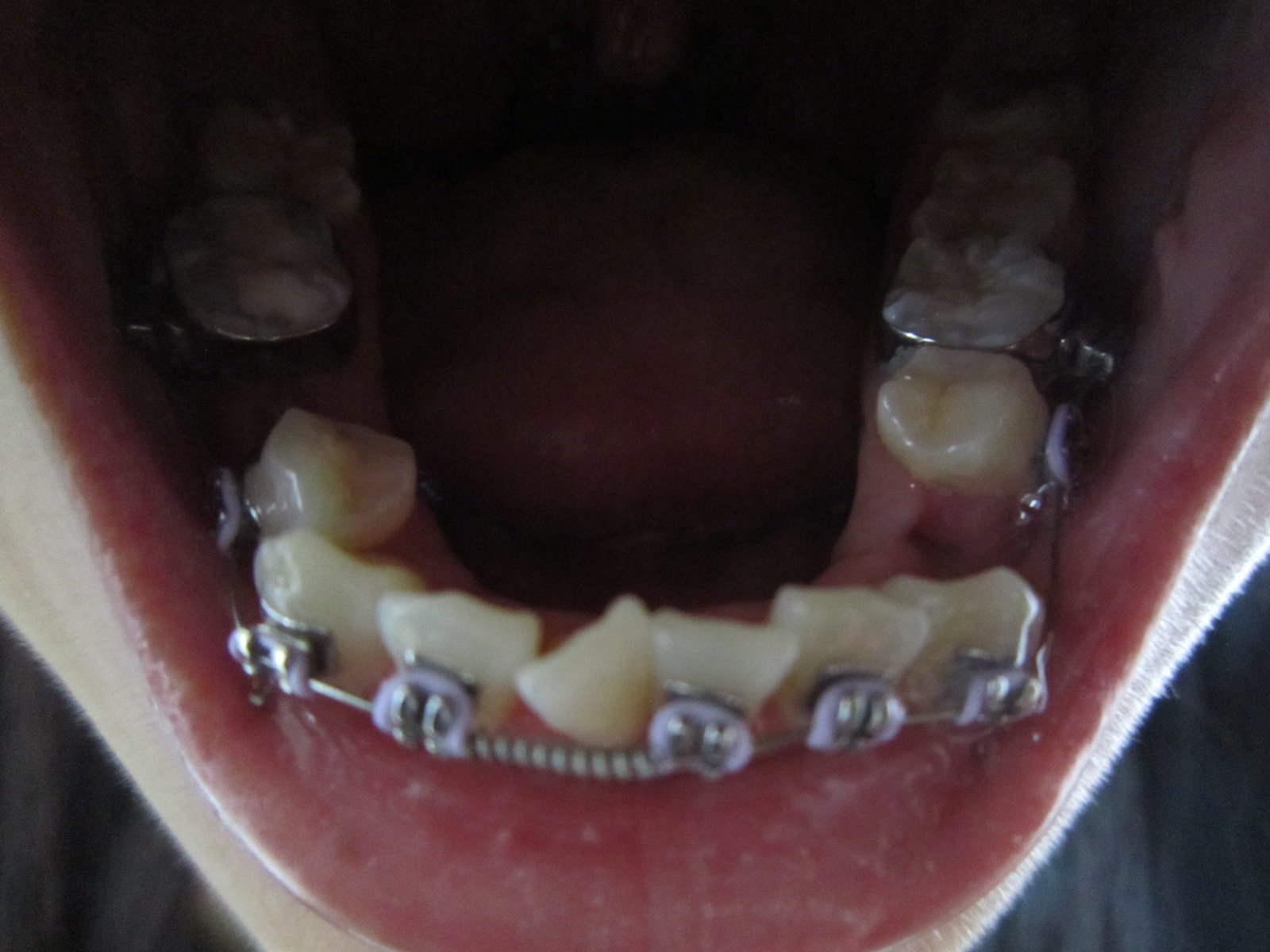
接下来就是上下颚,
照片有些恶心,希望你们别介意。。。

大大的洞还真的够大咯。。。
而且戴牙套过后嘴唇都变得很干,一直脱皮。。。


这就是闭着嘴唇的照,
其实一直以来我都很少微笑而拍很酷的照片,
皆因我一旦闭着嘴,就像嘴里含着东西一样
更别说微笑。。。
戴了牙套过后,我的嘴更加的“凸”了。。。
这时在牙医那里买的牙刷,
没什么分别啦,
其实用其它的也可以。。。
戴了牙套那几天我真的超没心情的,
不是因为牙痛,而是因为什么都不能吃,
每天都是粥,粥,粥。。。。
搞得我很pik cik咯。。。
但偶尔还是会耐不住诱惑,硬着吃几小口肉。。。
不到一星期,我已经吃不下粥了,
推开眼前的粥,拿了一碗饭硬是吃下去。。。
人人都说戴了牙套的人会瘦,
我看我是特别的那个。。。
不瘦反而变胖,
别人戴牙套没胃口,但我的胃口还是超级的好。。。
>.< 到今天04.03.2011, 已经过了11天, 牙齿已经没那么酸了, 可以嚼食物也可以用门牙咬断比较柔软食物了, 但比麻痹,酸的感觉来了。。。 前几天我已经感觉到右边牙的铁线开始刮我的唇, 到了今天,伤口已经慢慢变得很大了, 大到我痛得不得了,铁线开嘴闭嘴都磨擦着我的嘴唇, 真的痛进我心啊。。。
这时我今天拍的,
看。。。。伤口还这么大大的呆在那里,
若是平时,这些对我来说不算什么,
但多了这些牙套咚咚,
铁线真的重复又重复的刮着这个伤口,
好痛好受罪啊。。。
我都是靠这个ORAL AID来减少我的痛处,
没了它我真的无法说话,喝水和吃东西了。。。
要戴着这咚咚至少两年的时间,似乎很漫长哦,
但我还是会心想,
拆牙套后,
是否我可以拥有一副很美丽的笑容?
是否可以闭嘴微笑?
是否我的脸型可以来个小小改变?
是否闭嘴时不在像含着东西那样?
还听说过有特别收获,鼻子会比较高?
不懂是真的没。。。
但希望真的可以得到我想要的成果咯。。。
不好意思,伤了你们的眼睛了,
这么多恶心的照片。。。
但我还是不想错过我的牙套生活,
到后来一天我还可以回温一下。。。
其实我想把牙套文章都上锁起来,皆因太多不雅照片了,
有什么比较快一点又简单的上锁文章方式吗?
还有本来我想放短片的,
但超过100mb上传不到blogger,
还是有其它的上传方式吗?
好咯,第一章牙套纪录完毕了,
我也该睡咯,
已经早上4点多了,
明天起床后就要出发到kl了,
期待ing~~~~~
19 条评论:
你真的跨出去了,哈哈哈。。。但是你怎样都是大美女一个,不会吓倒大家的。
牙套后的你一定会更美更美更美!
我觉得这牙套过程真的要好好记录,过后就完全没得回忆了,所以不用上锁啦,就这样在这里好好记录着。。。。
我也有做牙的恐怖回忆,那恐怖是在那椅子上而已,过后就美美了,加油^^
*超羡慕你的!杰伦,我没得看>.<
看到牙齿被拔出来的照片,
以后不敢去看牙医了。 ==
你很勇敢啊~
其实这样拍是应该的!可以清楚看到before跟after。日后看回这些照片,就会觉得当初的决定是值得的!
我也没法看周杰伦啊!呜呜…T.T
我看一半就看不下去了啦~
哈哈哈哈哈....
他几时变成路尼阿??不是说不可以放在网上的吗??哈哈。。还好,不是很恶心。。
真的真的 脸型会整个变掉 变到美。因为我也戴过两年 去年年尾才拆的。
哇好痛的感觉!
你勇氣可嘉啊
我還以為你撤了牙套
原來
現在才開始
真的感覺好痛呢
虽然已绑牙差不多一年了
可是看到你的麻痹针照还是会觉得恐怖
自己拔牙的时候倒不会
= =+
我弟弟也在绑牙~每个月都要去复诊对吧~
不过他的是免费的,因为有保险帮忙~
我牙齿很不健康~就算很想做,也没办法吧~
医生说过,我的牙齿属于容易蛀牙的牙,因为间隔很大,所以容易阻塞食物,很容易蛀牙~
之前为了牙齿健康问题,花了整千零吉,去整修,也去了好几次牙医诊所~现在一定要勤劳用牙线~
不丑不丑,以后就是个更美的大美女了~^^
同时天涯沦落人,我昨天刚刚弄了,完全和你有一样的感受。。。你被刮伤的地方是可以解决的.. 可以用 wax来把刮伤的牙套粘着, 酱就不会弄伤了 :)
珊姑娘,
那天有吓到你吗?
我也是超怕躺在椅子上的感觉,
还有听到那些yiyiyiyi声。。。
ALIVE,
其实不会感觉到痛,
只是感觉到牙医很大力得在摇着你的牙齿,
哈哈。。。
vincent gor,
对啊,
所以我才想好好的记录下来。。。
多两年也许就没机会见到这牙齿了,
哈哈。。。
梦旅飞,
别看吧,
不想你吐,哈哈
kit yeng,
你看了video当然觉得这个不恶心。。。
这里不是facebook啊。。。
bel,
羡慕你呢,
已经拆掉。。。
现在晚了,我明天再到你的部落格看看。。。
feeling,
不痛不痛啦。。
sasa,
若我拆了就好咯,
还在刚开始而已啊。。。
希望这两年赶快过去。。。
凌迟魔女,
你的进展如何呢?
很好奇的问下哦。。。
哈哈,你拔多少颗?
aris,
你弟弟绑多久了?
都没听你说过的?
那么好,我也有买保险啊,
怎么没的免费?哈哈。。。
其实牙线用多了会好吗?
我都不会用呢?
怎么用的,哈哈。。。
samsam,
我今天和医生拿wax怎知他说没完货了,
要等下次咯。。。
你会觉得痛吗?
我明天再到你的部落格走走
珊姑娘,
那天有吓到你吗?
我也是超怕躺在椅子上的感觉,
还有听到那些yiyiyiyi声。。。
ALIVE,
其实不会感觉到痛,
只是感觉到牙医很大力得在摇着你的牙齿,
哈哈。。。
vincent gor,
对啊,
所以我才想好好的记录下来。。。
多两年也许就没机会见到这牙齿了,
哈哈。。。
梦旅飞,
别看吧,
不想你吐,哈哈
kit yeng,
你看了video当然觉得这个不恶心。。。
这里不是facebook啊。。。
bel,
羡慕你呢,
已经拆掉。。。
现在晚了,我明天再到你的部落格看看。。。
feeling,
不痛不痛啦。。
sasa,
若我拆了就好咯,
还在刚开始而已啊。。。
希望这两年赶快过去。。。
凌迟魔女,
你的进展如何呢?
很好奇的问下哦。。。
哈哈,你拔多少颗?
aris,
你弟弟绑多久了?
都没听你说过的?
那么好,我也有买保险啊,
怎么没的免费?哈哈。。。
其实牙线用多了会好吗?
我都不会用呢?
怎么用的,哈哈。。。
samsam,
我今天和医生拿wax怎知他说没完货了,
要等下次咯。。。
你会觉得痛吗?
我明天再到你的部落格走走
我想请问你在那里绑牙呢?
总共多少钱呢?
是私人的还是政府的?
可以给我哪家诊所的地址吗?
谢谢你
拔了四颗,和你一样
现在当初拔牙的洞已经不见了,牙医说大概今年年尾就可以拆了
=]
我也想知道你在哪里绑牙的~
很贵吗?
好想绑牙 可是家庭环境 :(
我一直以来都超想绑牙的,但是,我真的很害怕><:::
发表评论